牙周治疗后牙缝“变大”了,“罪魁祸首”究竟是谁?
牙周治疗后发现自己的牙缝变大了?这种现象让很多患者困惑不已,甚至有些担心:是不是治疗出了问题?
先说结论:牙缝变大不是牙周治疗的结果,而是疾病严重程度的反应。

如果您的牙周疾病较轻,还没有累及牙龈里面的骨组织,治疗后就不会出现牙缝。
但如果炎症较重,没有及时治疗,牙周治疗后一直充血水肿的牙龈肿胀等症状被改善了,那牙缝就看起来“变大”了。
一旦出现这样的现象,就说明您的牙周更需要密切关注,并且进行系统治疗了。今天,我们就来探究一下这背后的“罪魁祸首”,帮您消除疑虑。
牙石和牙菌斑:隐藏的填充物
长期的牙菌斑和牙石积累不仅是牙周病的罪魁祸首,还在一定程度上“填充”了你的牙缝。当这些牙石被清理掉后,原本被牙石填充的空间就会显露出来,这就让你觉得牙缝变大了。

治疗前

治疗后

牙结石
牙龈萎缩:不可忽视的因素
牙周病会导致牙龈和牙槽骨的退缩,这是牙周病进展的结果。当牙龈和骨头萎缩后,牙齿之间的支撑减弱,牙缝也会因此变得更明显。
虽然牙周治疗能够控制和改善炎症,但对已经发生的牙龈萎缩却难以逆转。因此,牙周治疗后,你可能会发现牙缝“变大”了。

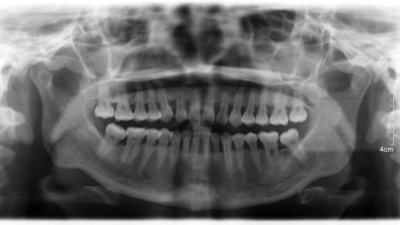
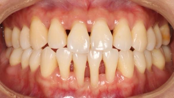
牙周炎口内照

牙周炎X线片
牙龈健康的恢复:炎症消退
如果在治疗前,你的牙龈因为炎症而肿胀,这种肿胀会暂时“遮住”一部分牙缝。在治疗后,随着炎症消退,牙龈会恢复到健康状态并贴合在牙齿表面,这时牙缝也会显得更加明显。

治疗前

治疗后
牙缝变大了,我该怎么办呢?
1. 应对牙缝变大的正确心态
牙缝变大通常并不意味着治疗失败或口腔健康恶化,相反,它可能是你口腔环境改善的标志。
重要的是大家要保持良好的口腔卫生习惯,包括每天正确刷牙、使用牙线或牙缝刷,定期进行牙科检查。这不仅有助于维持治疗效果,还能防止牙周病的进一步发展。


2. 寻求专业医生的帮助
如果你对牙缝的变化有任何疑虑,或感到不适,不妨尽快与牙科医生沟通。他们可以根据你的具体情况,给予专业的建议和必要的处理。

牙周治疗后牙缝变大并不可怕,它通常是治疗过程中自然产生的结果。了解这一现象背后的原因,有助于更好地理解和接受治疗过程。
坚持正确的口腔护理习惯,预防牙周病的复发才是维护口腔健康的关键哦~