冬日老人防跌秘籍,避开“最后一跌”→
天气变冷
老年人骨骼健康又迎来大考验
跌倒
是老年人在冬季的一大隐患
若不慎发生骨折
更会严重影响他们的生活质量
那么
如何有效预防这种因季节变化
而引发的“骨折危机”呢?

近日
年过七旬的刘阿婆(化名)
刚经历了从骨折到康复的过程
一起来看看
01
七旬阿婆不慎跌倒骨折
术后半年复诊步伐稳健
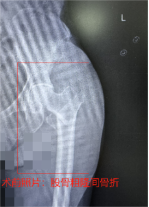
刘阿婆今年70多岁,平日里精神矍铄,经常去公园遛弯,有一次不慎跌倒臀部着地,当即感觉疼痛难忍,无法动弹。家人心急如焚,紧急呼叫救护车,将她护送至广州医科大学附属第二医院急诊科。
拍片结果显示,刘阿婆左侧大腿骨头(股骨粗隆)骨折了!随后,刘阿婆被迅速转入创伤骨科由主任医师胡海澜带领团队进行进一步治疗,并等待术前会诊。

经过初步评估,医生发现刘阿婆存在血压偏高、中重度骨质疏松等多种基础疾病。面对这一复杂情况,团队迅速进行多学科会诊,最终确定了治疗方案——为刘阿婆使用先进的PFNA(防旋股骨近端髓内钉)进行“左侧股骨骨折闭合复位内固定术”。PFNA创伤更小、操作更简单、设计更符合解剖学和生物力学,是目前治疗股骨粗隆间骨折的优选方案。
由于手术安排及时,刘阿婆避免了因长时间卧床引发的潜在并发症。术后,她恢复得非常好,第五天,她就已经能够下床,在辅助下进行步行康复训练,不久后便顺利出院。

半年后刘阿婆再次来医院复诊,只见她步伐稳健,已经没有任何疼痛或不适,脸上洋溢着幸福的笑容,晚年生活再次焕发光彩。
02
跌倒骨折确有高发部位
“能省就省”“能拖就拖”“忍一忍就过去了”“没什么事不用去医院”,这些话熟悉吗?这是大部分老人的认识误区。
胡海澜提醒,老人跌倒绝非小事,严重者可能导致死亡,若不慎跌倒,应立即来医院就诊,排除骨折的风险,并在医生的专业指导下进行康复训练,必要时进行手术治疗。
他介绍,跌倒对老年人造成的伤害多种多样,包括颅脑损伤、软组织损伤、关节脱位及骨折等。其中,骨折虽然发生率仅为2%~7.8%,却是老年人致死的重要威胁。特别是髋关节、脊椎骨、手腕等,更是老年人跌倒骨折的高发部位,而髋关节骨折更是被称为“死亡骨折”或“再也站不起来的骨折”。
因此,各位朋友要关注家中老人的健康状况,一旦发现老人跌倒,应立即送医就诊,切勿因一时的疏忽而酿成无法挽回的结果。

03
骨头“酥了”易跌倒
这些方面别“拖后腿”
老年人由于身体机能衰退、疾病以及家居环境的原因,容易导致跌倒,下面是几点预防跌倒的建议:
1、改善居家环境:
老年人家庭应保持地面干燥、整洁,及时清理杂物和积水。为卫生间、浴室安装防滑地砖,并放置防滑垫。保证室内光线充足,尤其是通道和楼梯处。在卧室、浴室和走廊安装扶手。
2、平时适当锻炼肌肉:
在日常生活中,可以做一些简单的练习,提高平衡能力和下肢肌肉力量,降低跌倒风险:
起立提踵:双脚与肩同宽站立,双手撑住桌面,提脚后跟10次,重复3组,每周进行3到4次。利用桌子或椅子来强化下肢肌肉,降低跌倒风险。慢慢坐下和起立,双脚均匀用力,重复5次。
3、进行合理补钙和补充维生素D
中国营养学会制定的成人每日钙摄入推荐量为800mg,绝经后妇女和老年人每日钙摄入推荐量为1000mg。维生素D老年人推荐剂量为每天400~800IU。治疗骨质疏松症时剂量可为800~1200IU。鱼肝油、鲑鱼、牛奶、蘑菇、蛋黄、奶酪、牛肉、沙丁鱼、鸡胸肉、燕麦片等都是富含维生素的食物。目前老年人从食物中摄取的量远远不足,所以更需要进行额外补充。
最后,再次提醒老年朋友们,平时积极治疗相关基础疾病,如高血压、糖尿病、骨质疏松等。每天进行身体锻炼,改善自身健康状况,无论在室内还是室外都不要着急,慢起身,慢行走,一起争做“不倒翁”!