正大量上市!小伙“狂炫”两斤后进医院……
车厘子按照果实大小一般分为L、XL、1J、2J、3J、4J等规格,规格越高,价格越高……最近,这款水果界“顶流”大量上市,且价格大幅回落,你实现“车厘子自由”了吗?医生提醒:进食车厘子应适量。

两斤车厘子下肚,小肠堵住了
狂炫两斤车厘子后,28岁的杭州小伙小汪(化名)腹痛难忍,肚子又胀又痛,还伴有腹泻。1月15日,忍耐了一天的他来到浙江医院三墩院区就诊,没想到检查发现,竟已造成小肠梗阻!
浙江医院普外科周传彪医师介绍,在临床中会经常遇到进食生冷、辛辣刺激食物导致肠梗阻的患者。因为这类食物刺激肠道,导致肠炎或肠管水肿,进而造成肠梗阻。那为什么吃车厘子也会造成肠梗阻?
浙江医院普外科张春杰副主任医师介绍,主要是因为车厘子中膳食纤维、果胶、有机酸含量较高,一次性摄入过多,可能会超出肠胃的正常消化能力,导致胃肠功能紊乱、胃炎或肠梗阻等。所幸小汪只是不完全性小肠梗阻,接受补充电解质、禁食、药物治疗后相关症状已明显减轻。要知道,严重的肠梗阻随时可能导致肠坏死、穿孔等严重并发症,需要紧急手术解除梗阻。

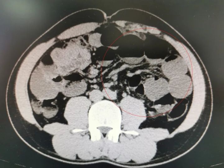
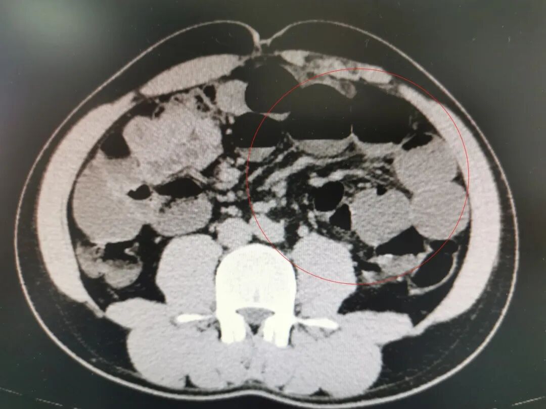
小汪小肠梗阻影像图
怎么吃车厘子才合适?
每年这个时候,车厘子大量上市,酸甜多汁的口感引得大家不免多吃几颗。浙江医院营养科章小艳副主任技师强调,关于车厘子食用,你可能需要知道:
1.每天能吃多少?
《中国居民膳食指南》建议成人每天吃水果200~350g(大约是25~40颗车厘子)。不论哪种水果,都要控制摄入量,同时考虑食物种类的多样化,因此,每天吃车厘子的量控制在100~150g较为合适,同时搭配其他水果。
2.吃多了会怎么样?
车厘子含有一定的糖分和热量,过量食用可能会导致体重增加或血糖波动;如果是过敏体质或对某些水果过敏,那么在食用车厘子之前,最好先进行过敏源检测。如果吃车厘子出现过敏症状,如皮肤瘙痒、红肿或呼吸困难,应立即停止食用并就医。
车厘子还可能会引起某些人的消化系统不适,如胃痛、腹泻或胃酸返流,如有消化系统问题或容易患胃肠疾病,建议少吃或不吃车厘子。此外,车厘子含钾丰富,肾病患者如果合并高钾血症建议不要食用。

3.会不会导致铁中毒?
车厘子果实颜色深红,给人感觉可以补铁,但其实车厘子的铁含量并不高。一次摄入铁量≥20毫克/公斤体重时,即可出现急性铁中毒,体重60公斤的成年人,要一口气吃300多公斤的车厘子才会铁中毒。
4.会不会导致氰化物中毒?
植物中的氰化物通常是以氰苷形式存在的。桃、车厘子、杏、李子等蔷薇科植物的种子都含有微量氰苷,且无毒,只有当植物细胞结构被破坏,氰苷才会转化成有毒的氢氰酸。
每克车厘子核中所含的氰苷折算为氢氰酸后只有几十微克,如要达到中毒剂量,至少需食用100斤车厘子的核才可能导致氰化物中毒。就算真的不小心把车厘子核吞下去,也不用惊慌,少量氰苷在体内是可以被代谢掉的。