一连“炫”好几个致肠梗阻 这四类食物勿与它同食
秋意渐浓,又到了柿子成熟的时节。黄灿灿、晶莹剔透的柿子赏心悦目又好吃,然而有人却因为吃它进了医院。
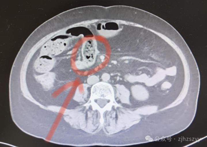
案例一:
10月21日,浙江杭州58岁的宋女士一连吃了好几个柿子。没想到第二天,腹部就出现阵阵绞痛,难以忍受,到杭州市中医院检查确诊为小肠肠梗阻。在收治入院过程中,她的病情急转直下,还出现了腹腔积液。医院紧急安排手术,将一块比鸡蛋还大、坚硬如石的“柿石”取出,一周后患者顺利康复。

案例二:
近日,陕西西安一名男子在食用半斤柿子后,又吃了不少螃蟹,结果胃里形成了较为尖锐的“胃石”,划伤胃壁并导致胃穿孔,不得不紧急就医。
为何吃柿子后胃里会长“石头”?
柿子不宜与哪些食物同吃?
如何健康享用柿子?
一文了解
↓↓↓
为何吃柿子会形成“柿石”?
杭州市中医院普外科主任医师黄海表示,每到柿子大量上市的季节,都会遇到不少因多食柿子导致肠梗阻的患者。
这是因为柿子中含有较多的鞣酸和果胶,在胃酸的作用下,鞣酸可与蛋白质结合,形成分子较大且不溶于水的鞣酸蛋白,再与其他食物残渣凝结成块,越积越大就会形成“柿石”。
➤“柿石”在胃内不断摩擦,可能使人出现腹胀、胃痛、恶心、呕吐等症状。
➤ 如果“柿石”进入肠道又无法顺利排出,则可能导致肠梗阻,严重者会引发肠坏死,甚至引起弥漫性腹膜炎而危及生命。
除了柿子外,富含鞣酸的食物还有山楂、黑枣等,在特定条件下同样可能形成结石,需引起高度警惕,一次不要过多食用。

吃柿子避免这四种搭配
为避免不良反应,柿子不宜与以下四种食物同食:
螃蟹、章鱼等海鲜
螃蟹、章鱼等海鲜富含蛋白质,与柿子中的鞣酸结合会形成不易消化的鞣酸蛋白沉淀物,影响消化吸收,并可能导致腹胀、腹痛。

海带
海带富含钙离子,可与柿子中的鞣酸结合,生成不溶性的复合物,影响消化吸收,导致胃肠道不适。
高淀粉食物(如红薯、白薯)
红薯等富含淀粉和膳食纤维,需要较长时间消化。柿子中的鞣酸与红薯中的成分在胃酸环境下可能形成不溶性复合物,增加胃肠负担,导致腹胀、腹痛等消化不良症状。
酒类
饮酒会刺激胃酸分泌增多。柿子中的鞣酸和果胶与胃酸结合会形成黏稠物质,容易与纤维素绞结成团,形成既难消化又不易排出的凝块,增加肠道梗阻风险。
酒中的乙醇也可能与柿子中的鞣酸发生反应,产生不溶于水的沉淀物。
健康吃柿子 牢记“5要点”
想安全享用柿子,除了不与上述食物同食外,还应注意以下几点:
▶不空腹食用
空腹时胃酸分泌较多,柿子中的鞣酸等成分与胃酸反应易形成硬块,增加形成胃柿石的风险。
▶不吃柿子皮
柿子中的鞣酸绝大多数集中在皮中,即使经过脱涩处理,也不可能将其中的鞣酸全部脱尽,连皮一起吃会增加形成胃柿石的风险。
▶不过量食用
柿子美味,但需节制,每日食用1-2个即可。
对于贫血患者,更应注意适量,因为鞣酸可能影响食物中铁的吸收。
▶选成熟果子
完全成熟的柿子鞣酸含量会显著降低。选购时可通过色泽、手感判断,口感涩味重的柿子说明鞣酸含量较高,不宜食用。
若柿子不熟,可通过“水果混放法”帮助柿子成熟,比如将涩柿子与熟透的香蕉或者苹果一同存放3~5天。

▶注意食用期
水果都有最佳食用期,若柿子存放过久或已有腐败迹象,食用后易导致肠胃不适。
两类人慎食柿子
1.糖尿病患者
柿子富含葡萄糖、果糖等简单糖类(单糖),容易引起血糖快速上升,应慎食。
2.脾胃虚寒者
柿子性味寒凉,平时舌苔白厚、食欲下降、易消化不良、受凉后易胃疼(热敷后可好转)的脾胃虚寒人群不宜食用鲜柿子,以免加重症状。
尽情享用柿子时切勿过量
且避免与四类食物同食
若食用后出现腹痛等症状
应及时就诊
以免延误病情