85岁篮球老将重圆“健步梦” 台湾女儿跨海见证大陆医疗“黑科技”
“我终于能实现我的“健步梦”了!”近日,在南京鼓楼医院江北院区,85岁的张女士激动地说道。她刚刚成功接受了Mako机器人辅助关节置换术,手术由南京鼓楼医院运动医学与成人重建外科王渭君主任主刀。这场手术不仅为张女士解除了多年的关节病痛,更让她重新燃起对高品质老年生活的向往。

张女士年轻时投身篮球体育事业,常年高强度的训练和比赛让她的身体落下了病根。由于当时医疗条件有限,她的关节问题一直未能得到有效治疗,随着年龄增长,关节疼痛愈发严重,严重影响了日常生活。走路对她来说都成了一件艰难的事,更别提实现“健步如飞”的梦想。一次偶然的机会,张女士看到了南京鼓楼医院运动医学与成人重建外科的科普知识,这让她看到了希望。在家人的支持下,她果断决定接受手术治疗。“妈妈在85岁还能有这样的勇气,我们都很佩服她。”远在台湾的女儿特意飞回南京,全程陪伴母亲手术和康复。

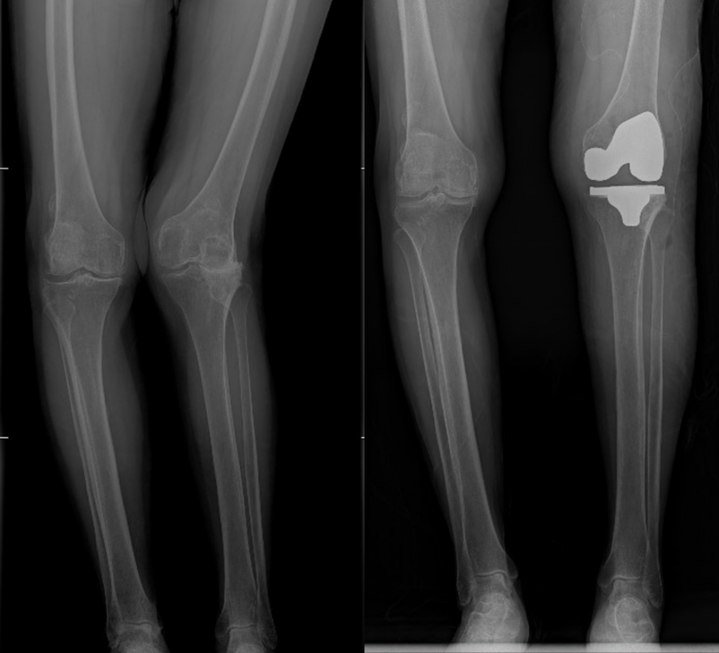
南京鼓楼医院运动医学与成人重建外科在关节治疗领域处于国内领先水平。面对张女士超高龄、复杂关节病变等挑战,王渭君主任团队决定采用Mako机器人辅助关节置换术。这一“黑科技”是该科室的一项先进技术,已成功完成数百例复杂关节置换手术,通过三维建模精准规划假体植入位置,误差控制在毫米级,不仅大幅降低手术创伤,还能根据患者骨骼形态实现个性化治疗。“就像为张奶奶量身定制了一套关节修复方案。这种手术方式可以最大程度地恢复患者关节功能,减少术后疼痛和恢复时间,让患者更快地回归正常生活。”王渭君主任向记者介绍说。

手术当日,在Mako机器人的精准辅助下,团队仅用1个多小时便完成关节置换。术后第二天,张女士就能在助行器辅助下站立行走,“感觉马上就要回到年轻时在球场上奔跑的日子了!”老人激动地说。全程陪护母亲治疗的台湾女儿,被大陆医疗的硬核实力彻底折服。从入院时的智能诊断、手术中的机器人精准操作,到术后多学科协作的康复方案,每个细节都让她惊叹:“原来祖国大陆的医疗技术已经这么先进!” 目睹母亲快速康复,饱受关节疼痛困扰的她当即决定留在南京鼓楼医院江北院区,由王渭君主任团队为自己进行关节治疗。“有这样专业的团队和前沿技术,我对康复充满信心!”

南京鼓楼医院运动医学与成人重建外科以技术创新为驱动,利用先进的设备和技术,集结了经验丰富、医术精湛的医疗团队,帮助更多患者重获“自由行走”的权利,让高龄不再是手术禁区。越来越多古稀、耄耋老人借助三维建模规划、智能导航定位等 “黑科技”,打破 “老年必衰” 的传统认知 。这不仅是医疗技术的突破,更是老龄化社会医疗理念的革新。

南京鼓楼医院等医疗机构的实践证明:通过医疗创新与人文关怀的深度融合,用心拓展生命的宽度,让每个年龄都能成为最好的时光。先进的医疗技术完全能够为老年人搭建起 “科技护健康,银发有尊严” 的生命阶梯,让每一抹夕阳都能绽放出更璀璨的光芒。
江苏广电南京中心站记者 | 万依 蔡源浩
编辑 | 吴莹莹