连喝半个月他的“脑子喝坏了”!这种饮料最伤脑,夏天很多人爱喝!
到了夏天很多人都爱喝点冰镇饮料,除了各种甜饮料外,还有一种饮料很多人夏天都爱喝,那就是冰镇啤酒、鸡尾酒等——酒精饮料。
近日,一位35岁的年轻设计师董先生(化名)一连喝了半个月后,自己出现止不住的手抖、走路摇晃、眼睛模糊、记忆力下降等状况,随后经过医生检查后确诊:他的“脑子坏了”!

连喝半个月,他的“脑子坏了”
据南方都市报报道,深圳的董先生是一名设计师,今年35岁,平时很少喝酒。自从4月中旬回老家参加婚礼后,一连半个月他都“浸泡”在酒精的世界里,连喝了半个月。
4月15日:婚礼当天鸡尾酒、白酒、啤酒都喝,凌晨3点睡,5点起;
4月16日:继续“赶场”喝洋酒、白酒,再次熬到凌晨;
4月19日:见到老同学,白酒、啤酒接着喝;
4月23日:白酒+啤酒+KTV,一直嗨到凌晨3点;
4月24日:喝酒后走路摇晃、不慎摔倒,次日双手发抖,仍硬撑继续喝;
4月29日:睡不着,用白酒和鸡尾酒“助眠”,结果一夜无眠……
不出意外的话,就要出意外了。董先生本以为手抖、走路摇晃只是因为喝醉酒的表现,但随后还出现了意识模糊、口齿不清、记忆力下降和视物模糊,眼睛需要盯住一个地方很久才能看清物体。最后开始出现幻听:听到有人敲门,耳朵里有杂音,还能听到熟悉的人讲话……

董先生的手止不住地抖动
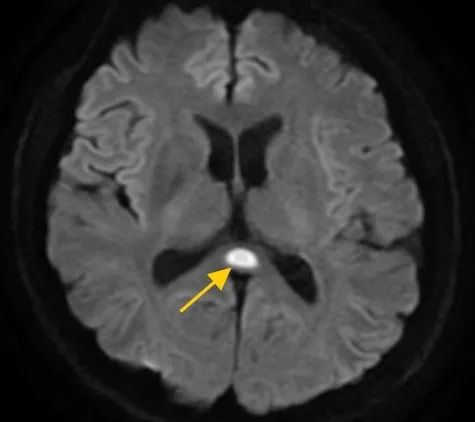
于是他马上到医院就诊,并被转入神经内科。经过一系列检查后,医生诊断为:可逆性胼胝体压部综合征。
什么是“可逆性胼胝体压部综合征”?医生解释,如果把大脑比作一座城市,胼胝体就是连接左右脑的“跨海大桥”,而胼胝体压部正是桥上的“核心枢纽”。当它因酒精、熬夜或感染“肿了”,大脑信号就会“堵车”,引发一系列“故障”。

董先生大脑的影像结果显示,胼胝体压部发生病变
所以,董先生才会出现视物模糊、看不清东西等问题。除了“压部”,胼胝体的其他部位也有病变,所以小董才会出现幻听、手抖等症状。如果简单来说,那就是把“脑子喝坏掉了”。①
1700例尸检报告发现:这种饮料真的伤大脑!
在很多人的印象中“喝酒伤肝”,其实喝酒其实更伤脑!如果身边有长期喝酒的人就会发现,很多人喝酒到一定程度会出现不停地手抖,这就是酒精对大脑神经系统的长期损害。
2025年,《神经病学》期刊刊发的一项研究,对1781已故者的大脑进行尸检分析发现,喝酒是真伤脑!每周饮酒8杯及以上的人,脑部血管病变的比率为44%,相较不饮酒的人风险高出133%;与从不喝酒的人相比,平均要早死亡13年。②

研究截图
研究中“1杯酒”到底是多少?研究中定义的“1杯酒”含有14克酒精,相当于:
· 500毫升啤酒· 150毫升葡萄酒· 45毫升烈酒(白酒、威士忌)
酒精饮料如何伤害大脑的?研究发现,酒精会导致大脑透明小动脉硬化症,进而引起小血管变窄、变厚和变硬,使血液流动变得困难,从而随着时间推移损害大脑,并以脑部损伤区域(病变)的形式出现。
研究还发现,重度饮酒者(每周喝8杯酒及以上)和前重度饮酒者发生tau蛋白缠结(与老年痴呆相关的生物标志物)的概率分别高出41%和31%;相较从不饮酒者,重度饮酒者平均大脑重量轻4.45克/厘米。
所以,夏天很多人喜欢喝冰镇啤酒,每天喝一听500毫升啤酒很轻松,但可能已经在悄悄伤害你的大脑了!
没有健康饮酒量出现这4种疼痛,必须戒酒了
长久以来,有不少人认为适量饮酒有益健康、少喝一点红酒通血管、改善心情、助眠等等,其实不管从目前已知研究还是世界卫生组织的建议,结论都是一致的:不存在对健康没有影响的“安全”饮酒量,任何饮酒都会对健康产生不良影响,因此最安全的饮酒量为0。
对于长期饮酒的人来说,尽可能早点戒酒。江苏省扬州市第一人民医院消化内科副主任医师支杰华2023年在人民日报健康号刊文提醒,身体这4个部位出现疼痛,可能是戒酒的“警示信号”。③

信号一:肝脏疼痛
肝脏作为代谢器官,最容易受到酒精的刺激和伤害。长期大量地喝酒会导致肝脏疼痛、肝区不适感、肝功能异常等症状。胀痛感、闷痛感或者持续性钝痛感等,是常见的肝脏疼痛表现。
信号二:胃部疼痛
酒精对胃黏膜具有刺激性作用,会导致胃酸分泌增多,进而引发胃炎和胃溃疡。胃部疼痛通常表现为上腹痛、胃灼热感、恶心和呕吐等症状。
信号三:心脏疼痛
过量摄入酒精不仅可能导致肝脏的损伤,还可能对心脏产生不良影响。长期酗酒的人可能会出现心脏疼痛的症状,主要考虑与酒精会对心脏产生毒性作用,导致心律不齐、心肌缺血等问题相关。心脏疼痛通常表现为胸骨绞痛、刺痛、胸闷和气促等症状。
信号四:肌肉关节疼痛
酒精会导致体内水分丧失,引发脱水,进而加重肌肉和关节的负担。肌肉痛、关节炎和痛风等问题常见于酗酒者,具体表现为肌肉酸痛、关节肿胀和疼痛等症状。
本文综合自:
①2025-05-23南方都市报《确诊为“脑子坏了”!一场婚礼后,深圳35岁男子狂做这事……》(谢萌)
②Justo AFO, Paradela R, Gomes Goncalves N, Ribeiro Paes V, Leite REP, Nitrini R, Pasqualucci CA, Ferriolli E, Grinberg LT, Suemoto CK. Association Between Alcohol Consumption, Cognitive Abilities, and Neuropathologic Changes: A Population-Based Autopsy Study. Neurology. 2025 May 13;104(9):e213555. doi: 10.1212/WNL.0000000000213555. Epub 2025 Apr 9. PMID: 40203226.
③2023-07-22人民日报健康号“消化内科支医生”《爱喝酒的人如果4个地方疼,是时候戒酒了》