雪天路滑,别让摔一跤变成大麻烦!这份冬季防骨折指南请收好
近期多地普降大雪,持续的低温叠加道路结冰,给大家的出行安全带来了很多隐患。冬季衣着较厚、行动相对迟缓,加上雨雪天气导致路面湿滑,摔倒后导致腕部、髋部或脊柱骨折的风险也明显增加了。有人说,冬季天冷,骨头也被冻“脆”了,一摔就会骨折。这种说法是真的吗?跌倒摔伤后,喝骨头汤、吃钙片真的补钙吗?让骨骼更健康,哪些方法更有效?

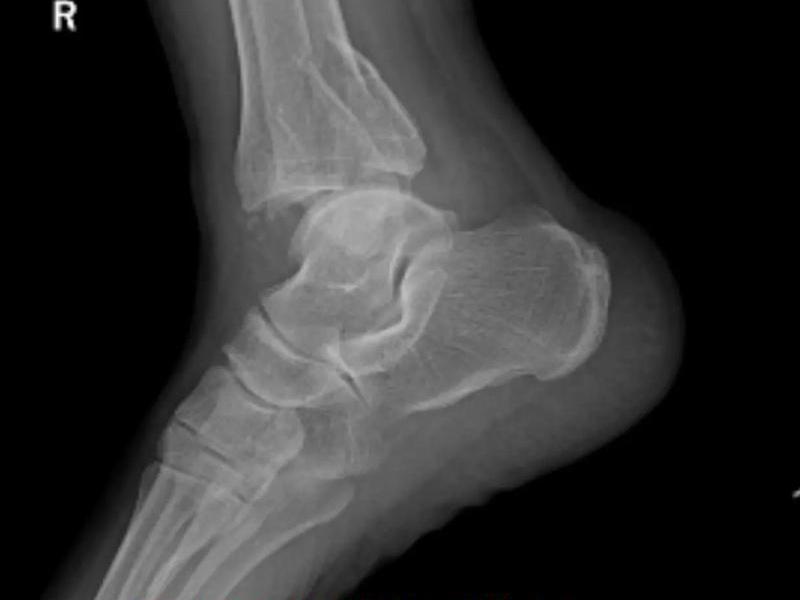
这几天,北京、武汉、南京、合肥等地普降大雪,因路面湿滑导致滑倒摔伤人群增加,不少医院里骨科、急诊接诊人数持续增加。北京大学第一医院骨科常务副主任孙浩林说,因雨雪天摔倒就诊的患者伤情多集中于手腕、髋骨和踝关节骨折,尤其是一些老年患者因骨质疏松,摔伤后需及时接受进一步治疗。

很多人感觉,同样是摔一跤,冬季会比其他时候更容易出现骨折等严重受伤。冬季骨头会更“脆”吗?国家健康科普专家库成员、首都医科大学附属北京积水潭医院创伤骨科主任公茂琪解释,阳光是骨骼的“营养剂”,由于冬季日照时间较短,气温较低导致人们户外活动减少,很多人可能陷入“维生素D冬季荒”,导致身体无法有效吸收钙元素。为维持血钙稳定,身体只能不断从骨骼中抽调钙质,可能导致骨密度下降,尤其是气温降低会让肌肉和关节周围的软组织“绷得更紧”,可能影响身体灵活度,更容易导致跌倒摔伤等情况发生。
专家提醒,冬季恶劣天气情况下,中老年人、身体较弱人群应避免外出,如果必须外出,在出行时尤其要注意安全。一旦发生身体失去平衡可能摔倒的情况,可以尽量用前臂支撑身体,而不仅仅是用手支撑,以免出现腕部骨折,同时要避免头部、髋部、臀部直接着地。

万一摔倒了,哪些情况可能是骨折了?公茂琪提示,在摔倒情况下,不要立即站起,应该先确认自己的肢体是否能够正常活动,身体躯干是否出现严重的疼痛,四肢是否发生严重的翻转、肿胀,及时就诊:
首都医科大学附属北京积水潭医院创伤骨科主任 公茂琪:一般讲究“先固定再搬运快就医”,你别移动受伤的部位,也别揉搓、推拉,因为会加重骨折的移位,甚至严重的骨折(很锐利的情况下)会损伤周围的神经血管,要求快速的固定,身边有什么就借用什么,譬如你带着书本,甚至什么都没有把围巾缠一缠轻轻地固定这个受伤部位,手指头能伸进去一个手指就可以了,然后赶快拨打120;譬如说要是胯骨骨折了,因为是比较严重的,就不要大动了,让病人就是平躺在担架上,也别让病人再起身翻身的,到了医院里,根据这个情况由医生来处理,是比较适宜的。

有说法认为,吃啥补啥,骨折后喝骨头汤可以补钙,也有不少老年人会大量吃钙片,希望能尽早恢复。对此专家表示,盲目补钙不能让骨头长得更快。
如何才能维护骨骼安全?公茂琪建议,合理的膳食营养、足量的户外运动等,都有利于让骨骼状态更健康。

冬季滑雪运动风行,如何在尽享雪地狂欢的同时,避免受伤?孙浩林建议,运动应量力而行,戴好护具;一旦在雪场发生摔倒,在可活动的情况下要及时避开雪道,防止发生二次碰撞导致受伤。