这种致癌物藏在家里 很多人天天接触却浑然不知
你是否曾留意
在我们的日常居住环境中
可能正悄然滋生着
被世界卫生组织
列为Ⅰ类致癌物的毒素

一旦温度与湿度条件适宜
它便会迅速萌发、生长和繁殖
不仅影响居住的舒适度
更可能对人体健康构成严重威胁
它就是霉菌
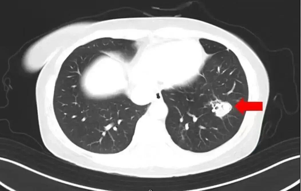
6岁女孩发烧17天
脑子出现十几个洞
近日,一6岁女童因持续发烧17天且意识不清,被转至郑州郑大一附院治疗。医生检查后大吃一惊:孩子脑子竟被“啃”出大大小小十几个洞,再晚来几天可能会被“啃空”。抽取洞内积液检测后,医生锁定了“真凶”——烟曲霉菌。

医生介绍,烟曲霉菌常隐藏在潮湿环境中,孩子在此玩耍后,霉菌通过呼吸道进入血液系统,进而“爬”进了脑子。
类似事件并非个例:
2025年4月,浙江杭州一女子整理衣柜后出现发烧、咳嗽的症状,体温最高达40℃。医生问诊得知,该女子整理衣柜时发现柜内长了霉斑,便动手清理,但清理过程中没戴口罩。经检查,最终确诊其感染曲霉菌。

2025年1月,江苏扬州的张大爷为迎接春节开始大扫除,清扫过程中不慎吸入大量灰尘和霉菌孢子,导致哮喘发作。张大爷随即服用了常备的哮喘治疗药物,可症状反而逐渐加重。经检查,张大爷的肺部出现感染,确诊为肺曲霉病。
霉菌还会对身体造成哪些影响?哪些人群更易受到霉菌“攻击”?霉菌爱藏在哪些地方?又该如何清除它们?国家应急广播记者日前专访了首都医科大学附属北京地坛医院感染性疾病中心主任医师田地,为您一一释疑。
霉菌一旦接触就会感染?
霉菌是一种真菌,广泛存在于空气、土壤、水体以及各类有机物质中,主要以菌丝的形态生长,会产生大量孢子。人体若经呼吸道吸入这些孢子,可能诱发一系列疾病。
自然界中的霉菌种类很多,不同霉菌菌落的表现也各不相同。
从颜色来看,有白色、黄色、绿色、红色等;
从形态来看,有的霉菌有明显的“毛”,有的霉菌看起来像是“脏了”。

△红毛癣菌

△黄曲霉

△烟曲霉

△马尔尼菲青霉菌
需要注意的是,生活中霉菌虽十分常见,但并非接触就会感染。
田地医师解释,大部分人机体免疫功能正常,身体能自行清除霉菌。只有当霉菌数量过多,且接触者自身免疫功能低下,才容易诱发感染。“比如接受过器官移植、需要长期接受免疫抑制治疗的患者,长期服用激素的人群,以及部分患有糖尿病而且血糖控制不好的老年人。”
可别小瞧!
很多疾病由它引起
侵袭呼吸系统
田地医师介绍,霉菌容易随呼吸侵入鼻腔、支气管、肺部等人体呼吸系统,严重时会诱发肺部感染,还可能累及中枢神经系统,导致真菌性脑脓肿、脑膜炎等严重病症。
世界卫生组织数据显示,全球约20%的呼吸道疾病与霉菌暴露相关,而这一数字在潮湿地区更高。
影响胃肠道
霉菌可能通过饮水、吃饭等途径进入胃肠道,引发急性胃肠炎、胃溃疡等疾病,表现为腹痛、腹泻、恶心、呕吐,严重时还会伴随高烧、浑身乏力等症状。
诱发过敏
部分人接触后会出现眼睛和皮肤发红发痒、打喷嚏、鼻塞流涕等症状,严重时还会诱发过敏性哮喘。

北京同仁医院曾对门诊过敏性鼻炎患者统计发现,霉菌是过敏性鼻炎的重要原因之一。
致癌
霉菌被世界卫生组织列入Ⅰ类致癌物。自然界中霉菌的种类有3万多种,其中约200多种可致癌,常见的有黄曲霉菌、镰刀菌等。而黄曲霉菌产生的黄曲霉素,毒性是砒霜的68倍。
家中哪些地方易被“攻陷”?
霉菌大量繁殖主要有4个条件:
温度在20-35℃之间;
湿度60%以上;
灰尘、木材、食物残渣等为其提供“营养源”;
通风不畅。
基于霉菌的生存条件,家中以下几个地方更容易成为霉菌的藏匿地。
卫生间
卫生间的墙角、瓷砖缝、水龙头、浴室帘子、浴室密封胶等处,都可能出现霉菌。

洗衣机
洗衣后立即关闭洗衣机盖、不及时晾晒衣物、洗衣机放置在通风不良的位置等行为,都可能导致机器内部滋生霉菌。
上海市疾控中心曾抽查128台使用半年以上的洗衣机,结果显示,洗衣机洗涤桶内槽中的霉菌检出率为60.2%。
冰箱门
冰箱想要保持良好的制冷效果,门上的密封条必不可少,但塑料密封条和乳胶都可能滋生大量霉菌,常见的包括链格孢、青霉、黄曲霉、烟曲霉等。

空调
空调长期不清洗,其管道和机体内部容易成为霉菌滋生的“重灾区”。
如何远离霉菌?
环境除湿,釜底抽薪
湿度是影响霉菌生长的决定性因素,控制室内湿度能有效抑制霉菌滋生。
天气晴朗时,应及时开窗通风,减少湿气积聚;尤其是卫生间、厨房等易潮湿区域,更需保持良好通风。
当室内湿度偏高时,可使用除湿机、空调除湿功能等降低室内湿度,减少霉菌滋生。
若没有除湿设备,可放一些活性炭保持家中干燥。

清洁除霉,主动出击
灰尘、污垢、食物残渣等都是霉菌生长的“营养源”,保持环境清洁是减缓霉菌滋生的关键。
定期清洁家中地板、墙面、家具等表面,清除灰尘、污垢和湿气,防止霉菌滋生。
及时清理水槽、下水道等易积水区域,保持地面和墙面的干燥。
冰箱中若有腐烂变质的瓜果蔬菜应及时丢弃。
物品防护,细节制胜
书籍、衣物和被褥等易受潮物品应妥善存放,防止受潮发霉,有太阳时应及时拿出晾晒,利用阳光杀菌除霉。若遇连续阴雨天,可使用烘干机或吹风机等,避免物品长时间处于潮湿状态。
国家应急广播提醒,临近春节,不少家庭开启大扫除模式,公众务必提高对霉菌危害的认识,高危人群应采取科学、有针对性的防护措施,一旦出现不明原因发热、头痛、反复咳嗽、咳痰、胸痛、喘息等可疑症状,需及时就医,以降低感染风险,保障身体健康。